




















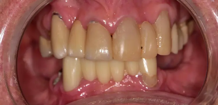
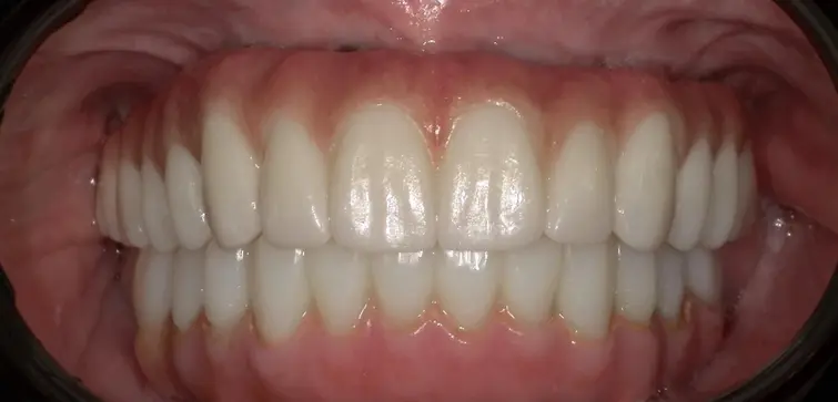
When it comes to dental care, experience and expertise matter. At Naples Dental Boutique, our skilled team of dental professionals has years of experience in providing top-quality care to patients of all ages. Whether you need routine checkups or more complex restorative work, we’ve got you covered. Trust us to help you achieve the healthy, beautiful smile you deserve.
Includes: